Compte validé
Chien Eurasier Ocean of Nordic Island
Du Souvenir De Tootsie Le mot de l'éleveur
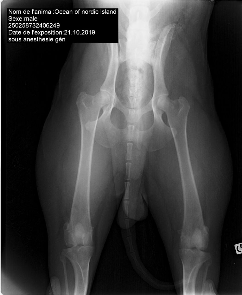
Pour voir la copie des tests de santée , fair defiler les photos
Informations sur le chien
- Sexe
Mâle
- Né le 21/08/2018
7 an et 9 mois
- Couleur
Sable
- Puce
250268732406249
- Inscrit au Livre d'origine
LOF
- N° d'origine
/
- Cotation
1 - Confirmé
- ADN
oui
Tares
Identifié ADN - ouiluxation de rotule - indemneDandy walker - Exempt (par antagène)Dentition - DCCMyélopathie dénégérative - Exempt ( par antagène)dysplasie de la hanche - indemne, A
Propriétaire et producteur
- Site du propriétaireDu Souvenir De Tootsie
- Site du producteurof Nordic Island
- Lieu
19 - Correze
Les parents
Pédigree de Ocean of Nordic Island
Signaler un abus
Retrouvez tous les chiots Eurasier
Retrouvez tous les eleveurs Eurasier
Un animal est un être sensible. Vous êtes responsable de la santé et du bien-être de votre animal pour toute sa vie. Pour plus d'informations, consultez le site du ministère chargé de l'agriculture : https://agriculture.gouv.fr/conseils-et-reglementation-tout-savoir-sur-les-animaux-de-compagnie.


















